Mitmachstation
Wunderwerk Haut: Was leistet unser größtes Organ?
Thema:
Gesundheit
Schlagworte:
Humanmedizin
Altersgruppe:
Alle
Maximale Kapazität der Station: 6 Personen
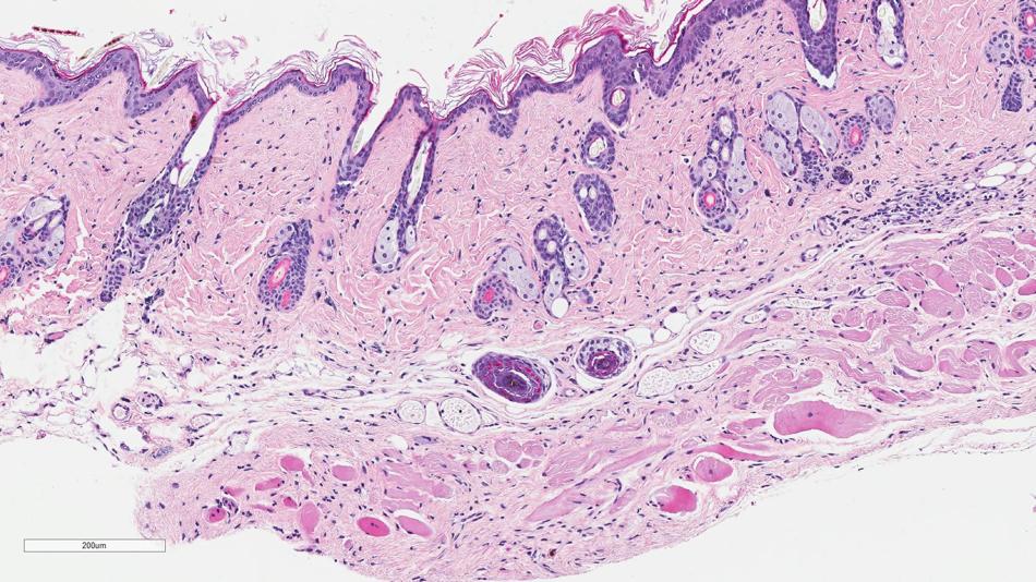
Die Haut ist das größte Organ unseres Körpers. Sie schützt uns vor vielen Umweltfaktoren. Hautgesundheit ist sehr wichtig - wenn die Haut juckt fühlen wir uns nicht wohl. Bei uns erfahren Sie über die diversen Aufgaben der Haut und Forschung an einem Universitätsklinikum aussieht.
Besucherinformation
Anfahrtsbeschreibung: Ein kostenloser Shuttlebus fährt alle 30 Minuten zu diesem Standort (Linz AG Haltestelle "Gruberstraße"). Fahrplan siehe Infobox!
Dieser Ausstellungsstandort ist barrierefrei zugänglich und verfügt über barrierefreie Toiletten.
Johannes Kepler Universität Linz
Medizinische Fakultät
Universitätsklinik für Dermatologie und Venerologie
Johannes Kepler Universität Linz - Medizinische Fakultät
MED Campus I, Laborgebäude, Krankenhausstraße 5, 4020 Linz
MED Campus I, Laborgebäude
Öffnungszeiten
Erster Einlass: 17:00
Letzter Einlass: 23:00
11 weitere Stationen an diesem Standort
-
VortragHautnah im OP: Wollen Sie 2 Live-Operationen mitverfolgen?Thema: GesundheitAb in den OP-Saal: Hier können Sie zwei Live-Operationen hautnah miterleben. Die erste Live-OP widmet sich einer Gehirnblutung: Ein Aneurysma wird unter einem OP-Mikroskop operiert und mit einer Titanspange verschlossen. In der zweiten Live-OP wird eine 3D-Kamera über einen 5 Zentimeter langen Schnitt ins stillgelegte Herz vorgeschoben. Diese OPs werden live um 17.30 aus dem Kepler Universitätsklinikum übertragen.Johannes Kepler Universität Linz17:00 - 23:00 -
KinderprogrammBlick ins Innenleben: Wie funktioniert unser Darm?Thema: Gesundheit NaturwissenschaftenBetreten Sie das von der Felix Burda Stiftung GmbH entwickelte europaweit größte Modell eines menschlichen Darms! Auf 20 Metern erleben Sie eine Reise durch den Dickdarm & lernen Erkrankungen wie Darmkrebs & chronisch entzündliche Darmerkrankungen kennen. Expert:innen aus Medizin & Forschung geben spannende Einblicke in die faszinierende Welt des Mikrobioms. Lassen Sie sich überraschen. Bestens für Kinder geeignet.Johannes Kepler Universität Linz17:00 - 23:00 -
AusstellungBauplan Mensch - wie funktioniert eine DNA-Analyse?Thema: Naturwissenschaften TechnikDie Analyse des menschlichen Erbmaterials (DNA-Sequenzierung) hat früher 15 Jahre in Anspruch genommen. Heute dauert das nur noch 90 Sekunden. Wie die Sequenzierung funktioniert&welche enormen Fortschritte in den letzten 50 Jahren erreicht wurden, erfahren Sie hier. Informieren Sie sich und diskutieren Sie mit, denn die Entschlüsselung der DNA ist ein Erfolg, der enorme gesellschaftliche Auswirkungen mit sich bringt.Johannes Kepler Universität Linz17:00 - 23:00 -
MitmachstationWie kann MEDUSA / IASON die Sicherheit von neurochirurgischen Eingriffen erhöhen?Thema: GesundheitErkrankungen des Gehirns können schwere Folgen für Patient:innen haben. Eingriffe am Gehirn sind hochkomplex. Moderne Technologien und neue Trainingsplattformen für Ärzt:innen können dazu beitragen, solche Operationen einfacher und für Patient:innen sicherer zu machen. Wie das geht? Das erfahren Sie hier.Johannes Kepler Universität Linz17:00 - 23:00 -
MitmachstationWie verändert Virtual Reality die Allgemeinmedizin von morgen?Thema: Digitalisierung GesundheitErleben Sie wie Virtual Reality das Training und die Ausbildung in der Allgemeinmedizin verändert. Testen Sie selbst virtuelle Fallszenarien und entdecken Sie neue Lernmöglichkeiten für zukünftige Hausärzt:innen. An weiteren kleinen Stationen werden die Chancen und Grenzen von Wearables diskutiert und über die zentralen Entwicklungen der Digitalisierung in der Hausärzt:innenpraxis informiert.Johannes Kepler Universität Linz17:00 - 23:00 -
MitmachstationEin Herz fürs Herz: Wie rettet man Leben?Thema: GesundheitStellen Sie sich vor, Sie gehen einkaufen – und plötzlich kippt jemand direkt neben Ihnen um. Was tun? An dieser Station lernen Sie, wie man in solchen Fällen hilft und Lebensretter:in werden kann. Denn: Derzeit überleben nur rund 20 Prozent der Betroffenen in Österreich einen Kreislauf-Stillstand. Kämpfen Sie gemeinsam mit uns gegen den plötzlichen Herztod an!Johannes Kepler Universität Linz17:00 - 23:00 -
MitmachstationAuf der Spur der grauen Zellen: Wie denkt unser Gehirn?Thema: Gesundheit NaturwissenschaftenIm bekannten Universum ist nichts so komplex wie das menschliche Gehirn. Unsere grauen Zellen machen uns zu dem, was wir sind – aber verstanden haben wir bis heute nur wenig von dem, was dieses faszinierende Organ ausmacht. Wie entsteht das Gehirn? Wie sehen unsere grauen Zellen wirklich aus und wie kommunizieren sie miteinander? Diese Station gibt einige Antworten – und wirft viele neue Fragen auf!Johannes Kepler Universität Linz17:00 - 23:00 -
MitmachstationWie kann man ohne Tierversuche Blindheit erforschen?Thema: NaturwissenschaftenUm Tierversuche zu vermeiden, nutzen wir im Labor menschliche Körperzellen, die wir zu sogenannten induzierten pluripotenten Stammzellen umprogrammieren. Aus diesen Zellen können wir dreidimensionale Modelle der Netzhaut herstellen. Diese Modelle ermöglichen es uns, Netzhauterkrankungen zu erforschen, besser zu verstehen & neue Behandlungsansätze zu testen.Johannes Kepler Universität Linz17:00 - 23:00 -
AusstellungHerz, Fett und Feinstaub - moderne Forschung ohne Versuchstiere?Thema: GesundheitDas Herz wird von vielen inneren und äußeren Faktoren beeinflusst. An dieser Station zeigen wir, wie Herzforschung heute unterschiedliche Ansätze verbindet: die Rolle des Fettgewebes im Alterungsprozess, moderne tierversuchsfreie Modelle wie Organ-on-Chip-Systeme sowie die Untersuchung von Umweltpartikeln mit einem Wurm-Modellorganismus und vieles mehr. Also fassen Sie sich ein Herz und machen Sie mit!Johannes Kepler Universität Linz17:00 - 23:00 -
AusstellungWas sind die Vorteile einer Biobank für die Forschung und Patient:innen?Thema: Gesundheit NaturwissenschaftenIn der gemeinsamen Biobank von JKU & KUK werden flüssige Proben wie z.B. Blut oder Gewebeproben professionell gesammelt, verarbeitet & gelagert, sodass die Forschung verlässlich auf Grundlage dieser Materialien arbeiten kann. Diese Forschungsergebnisse sind entscheidend um Erkrankungen zu diagnostizieren und therapieren zu können.Johannes Kepler Universität Linz17:00 - 23:00 -
AusstellungAlles fließt: Wie beeinflussen Stoffe unser Immunsystem?Thema: GesundheitDas Institut für Pharmakologie untersucht, wie die Zellen des Immunsystems kommunizieren - wie sie Signale auf der kleinsten Ebene von einzelnen Ionen (z.B. Calcium oder Magnesium) integrieren, verwerten und weiterleiten. Es wird erklärt, wie pharmakologische Stoffe den Transport dieser Ionen durch Tunnel in der Zellmembran, sogenannte Ionenkanäle, beeinflussen und wie das gemessen werden kann.Johannes Kepler Universität Linz17:00 - 23:00